Vorsicht bei zu hohem Langzeitzuckerwert


Vorsicht bei zu hohem Langzeitzuckerwert

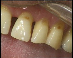
Parodontale Erkrankungen, auch bekannt als Zahnfleischerkrankungen, sind eine weit verbreitete Erkrankung, die das Zahnfleisch und den Kieferknochen betreffen kann. Diese Erkrankungen werden durch bakterielle Infektionen verursacht, die sich um die Zähne herum ansammeln und Entzündungen im Zahnfleisch und im Kieferknochen verursachen.

Es gibt viele Faktoren, die das Risiko für parodontale Erkrankungen erhöhen können, einschließlich Rauchen, Diabetes und schlechte Mundhygiene. In Bezug auf Diabetes ist bekannt, dass hohe Blutzuckerwerte das Risiko für parodontale Erkrankungen erhöhen können.

Ein wichtiger Indikator für die Blutzuckerkontrolle bei Diabetes ist der HbA1c-Wert. Dieser Wert gibt an, wie hoch der durchschnittliche Blutzuckerspiegel in den letzten 2-3 Monaten war. Ein HbA1c-Wert von 6,5 oder höher ist ein Indikator für eine unzureichende Blutzuckerkontrolle und kann das Risiko für parodontale Erkrankungen erhöhen.

Wenn der Blutzuckerspiegel über einen längeren Zeitraum nicht gut kontrolliert wird, kann dies zu einer Zunahme der Entzündungen im Körper führen, einschließlich Entzündungen im Zahnfleisch und im Kieferknochen. Dies kann zu einer Verschlimmerung von parodontalen Erkrankungen führen und das Risiko für Komplikationen wie Zahnverlust erhöhen.

Daher ist es wichtig, dass Menschen mit Diabetes eng mit ihrem Arzt zusammenarbeiten, um ihren Blutzuckerspiegel unter Kontrolle zu halten. Eine gute Blutzuckerkontrolle kann dazu beitragen, das Risiko für parodontale Erkrankungen zu reduzieren und die allgemeine Mundgesundheit zu verbessern.

Zusammenfassend zeigt eine Vielzahl von Studien, dass eine unzureichende Blutzuckerkontrolle das Risiko für parodontale Erkrankungen erhöhen kann, insbesondere bei einem HbA1c-Wert von 6,5 oder höher. Daher ist es wichtig, dass Menschen mit Diabetes ihre Mundgesundheit im Auge behalten und eng mit ihrem Arzt zusammenarbeiten, um ihren Blutzuckerspiegel unter Kontrolle zu halten.



 
Copyright © 2025 by Zahnarztpraxis Singer. All rights reserved.

Diese Website verwendet Cookies zur Steigerung von Funktionalität und Leistungsfähigkeit. Falls Sie weiter lesen und unsere Website verwenden, stimmen Sie dem Gebrauch von Cookies zu. Nähere Information finden Sie in unserer Datenschutzerklärung. Schließen